口腔联盟服务网

  
网站首页 关于我们 收藏本站
网站首页
我要买
管理咨询
我要加盟
我要做广告
求购留言
我要留言
疑难会诊
诊所范例
财务代管
    服务热线:13569151100         免费注册学校联盟
 如何发布产品? 如何购买产品? 如何加入诊所联盟? 如何进行免费网页注册? 个性网页如何定制? 收藏本站
   
爱牙护齿百问百答
"爱牙"电子画册
口腔商城
名医名店
口腔联盟
口腔论坛
口腔资讯
诊所设计欣赏
摄影欣赏
QQ酷图欣赏下载
人才招聘 10370 人)
您现在的位置:首页 >> 口腔预防保健科
 
  口腔预防保健科    
 
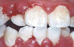
牙龈出血最好先换牙刷
【时间 2007年9月5日 8:48】
     健康的牙龈在刷牙和进食的时候是不会出血的,有些人早晚刷牙,有时候牙龈会出血,但感觉不到疼痛,故此毫不在意。

    其实牙龈出血极有可能患上了牙周病。牙周病早期是无痛性进展但不能自愈。由于牙齿周围软组织病变,牙龈内新生血管充血扩张,牙龈变为暗红色,质地松软、水肿一旦刷牙不当就会引起出血。早期的牙龈炎症得不到治疗,牙周韧带就会受到侵袭,支持牙的牙槽古就会破坏和吸收,还会出现口臭,牙龈溢脓,等出现疼痛、肿胀的时候多是晚期,治疗不彻底会导致牙齿松动脱落 。

    因此刷牙出血应先检查自己的牙刷刷毛是否过硬,并更换软毛牙刷。牙周病引起的出血使用软毛牙刷正确的刷牙方法一般能够自行停止。采取消除局部刺激因素和消炎治疗还出血切末大意,应急早去医院就诊。

                                   

来源:口腔联盟
 
上一条:刷牙意义重大
下一条:关于胎儿的牙齿形成
查看友情连接>> 翻译网站 上海保洁 深圳装修公司 天津防水补漏 康宝莱 广州体检中心
本站首页只接受PR值大于1的网站,其它站点放在内页请点此查看 友情链接处理QQ:86322590 请注明申请链接 更多友情链接>>>
关于本站 |联系我们 | 网站首页 | 口腔商城 | 口腔论坛 | 诊所联盟| 违法不良信息举报中心

QQ服务群:老板群:26904911 沙龙群:83549843 牙科管理群:49057286 口内群:69544979
  kq111正畸群:59590904 修复群:83551580 小白兔、小白象、小精灵群:59742543
联系电话:13569151100 联系信箱:344794672@qq.com
招聘QQ:(只加应聘)1049171952 交流部QQ(只加医生):284948961 事业部QQ(只加老板):344794672
敬告:本站信息仅供参考不能作为诊断及医疗的依据; 本站如有转载或引用文章涉及版权问题请速与我们联系及时删除

技术支持:英群网络 豫ICP备20001287号-1